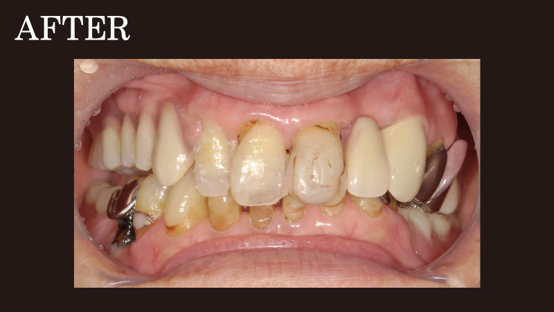
そこで当院では、「キー」「ロック」という小さな金具を使って固定する、上あごを覆わない設計の部分入れ歯「ミラクルデンチャー」をご提案しました。ズレやガタつきを最小限に抑えられ、違和感の少ない入れ歯となります。
また、この金具は、外側から留め具が見えない作りですので、入れ歯だと気づかれたくない方にもおすすめです。
入れ歯がしっかりと固定されるため、口に入れたときの違和感が少ないのはもちろん、会話やお食事も楽しんでいただけます。
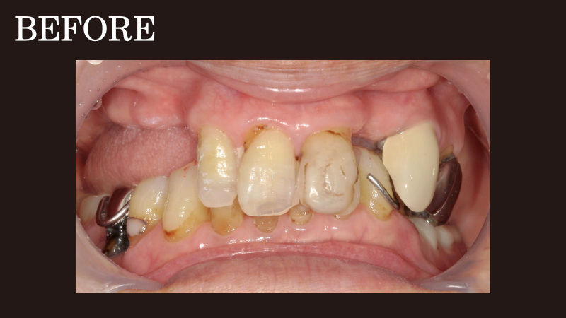
皆さまの中にも、「保険の入れ歯を試したものの自分の口に合わず、日常生活の楽しみが減ってしまった」という方がいらっしゃるのではないでしょうか。
当院では、見た目が自然で、フィット感に優れた入れ歯治療をご提供しています。お悩みの方はぜひ一度、入れ歯相談をご利用ください。
美しい笑顔と快適な日々を取り戻すお手伝いをいたします。
| 主訴 |
| 使っている入れ歯が合わない |
| 治療内容 |
| ミラクルデンチャー |
| 治療費 |
| 522,500円(税込) |
| 治療期間・回数 |
| 6か月・13回 |
| リスク・副作用 |
| 定期的な調整が必要 |
当院では60分ほどの「入れ歯相談」を実施しています。相談したら必ず治療しなければいけないわけではありません。安心してご利用ください。
| 診療時間 | 月 | 火 | 水 | 木 | 金 | 土 | 日 |
|---|---|---|---|---|---|---|---|
| 09:30~13:00 | ○ | ○ | ○ | ─ | ○ | ○ | ○ |
| 14:00~18:00 | ○ | ○ | ○ | ─ | ○ | ○ | ○ |
─:休診日
| 月 | 火 | 水 | 木 | 金 | 土 | 日 | |
|---|---|---|---|---|---|---|---|
| 午前 | ○ | ○ | ○ | ─ | ○ | ○ | ○ |
| 午後 | ○ | ○ | ○ | ─ | ○ | ○ | ○ |
午前:09:30~13:00
午後:14:00~18:00
休診日:木曜・祝日